Cypress, TX: (832) 648-1756
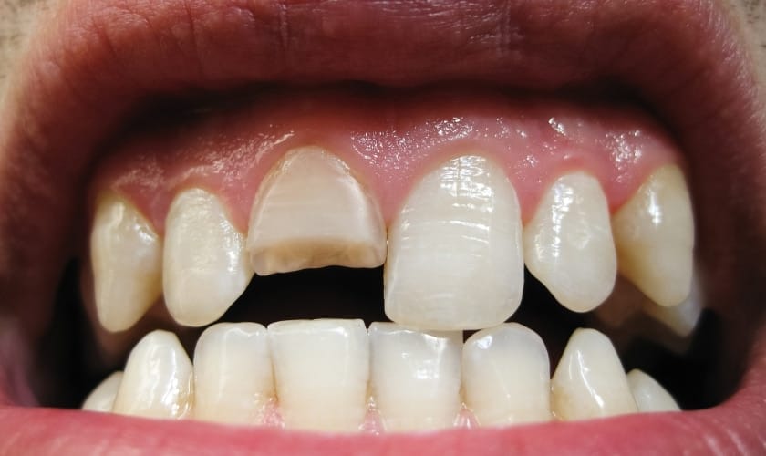
Can A Tooth Crack In Half And Be Fixed?

Experiencing a cracked tooth can have a significant impact on your oral health and overall well-being. The severity of a cracked tooth can range from minor surface cracks to more extensive fractures. Many people wonder if a tooth that has cracked in half can be repaired. If you suspect that you have a cracked tooth, here is some essential information to keep in mind. Additionally, it’s important to seek help from a trusted dentist in Katy.
Possible Causes Of A Cracked Tooth
A tooth may develop a crack as a result of various factors.
One common cause is physical injury, such as getting hit in the mouth while participating in a contact sport. Additionally, the wear and tear on teeth from daily activities can contribute to the development of cracks. For instance, regularly crunching on hard objects like ice or candy, as well as engaging in teeth-grinding or jaw clenching, can gradually wear down tooth enamel, ultimately leading to the formation of cracks in the tooth structure.
What Are The Symptoms Of A Cracked Tooth?
Recognizing the symptoms of a cracked tooth is crucial for seeking timely dental intervention. Here are common symptoms associated with a cracked tooth.
- Pain While Chewing: Discomfort or pain when biting or chewing is a prevalent symptom. The pressure applied during these actions can exacerbate the crack, causing pain.
- Sensitivity to Temperature: Increased sensitivity to hot or cold temperatures may indicate a cracked tooth. The crack allows these sensations to reach the tooth’s nerves, leading to heightened sensitivity.
- Intermittent Pain: Cracked teeth often cause intermittent pain that may come and go. The pain can range from mild to severe and may be challenging to pinpoint.
- Discomfort When Releasing the Bite: Pain or discomfort when releasing the bite, especially after chewing on hard foods, can signal a cracked tooth. This is due to the release of pressure on the cracked portion.
What Should You Do If Your Tooth Cracks In Half?
If your tooth breaks in half, contact your dental office to book an appointment with your dentist in Katy. It’s not recommended to delay treatment for a broken tooth, as it could worsen and result in infection. Infections often start in the tooth’s pulp and may spread to the gum and underlying bone. If you can’t see your dentist right away, continue your normal oral hygiene routine until the appointment, and be extra careful when brushing the cracked tooth.
How Are Cracked Teeth Repaired?
Your dentist will examine the damage and determine the most appropriate treatment. Here are potential treatment options:
- For minor enamel or filling chips, a new filling or bonding material may suffice.
- If only a small piece of the tooth is broken, your dentist might use a crown or filling to protect the remaining structure.
- In severe fractures, endodontic surgery might be necessary to remove the damaged portion and safeguard the pulp and tooth.
- If the crack reaches the pulp, a root canal or tooth extraction may be recommended.
If your tooth cracks, it can be alarming, but there are many treatment and restoration options. Contact your Katy dentist promptly for the best possible outcome, which is more likely with early evaluation.

