9212 Fry Rd #120 Cypress, TX 77433

Journey through Our Smile Gallery!
Welcome to our Smile Gallery, where radiant smiles meet exceptional dentistry! Each smile is a testament to our commitment to excellence. From subtle enhancements to complete smile makeovers, our team takes pride in delivering personalized treatments that exceed expectations. Witness the before-and-after transformations that have not only improved smiles but also changed lives. We invite you to envision the possibilities and discover how our expertise can revitalize your smile.
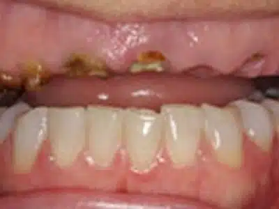
Before & After

Before

After

Before

After

Before

After

